Case Study:
Composite Veneers
3DNA-Guided Injectable Composite Veneers: A 5-Veneer Smile Frame
PATIENT INFORMATION
Age 30
Site Maxillary anterior region (teeth 13–23)
Health status ASA I, healthy
Smile line Medium-high to normal gingival display
Periodontal diagnosis
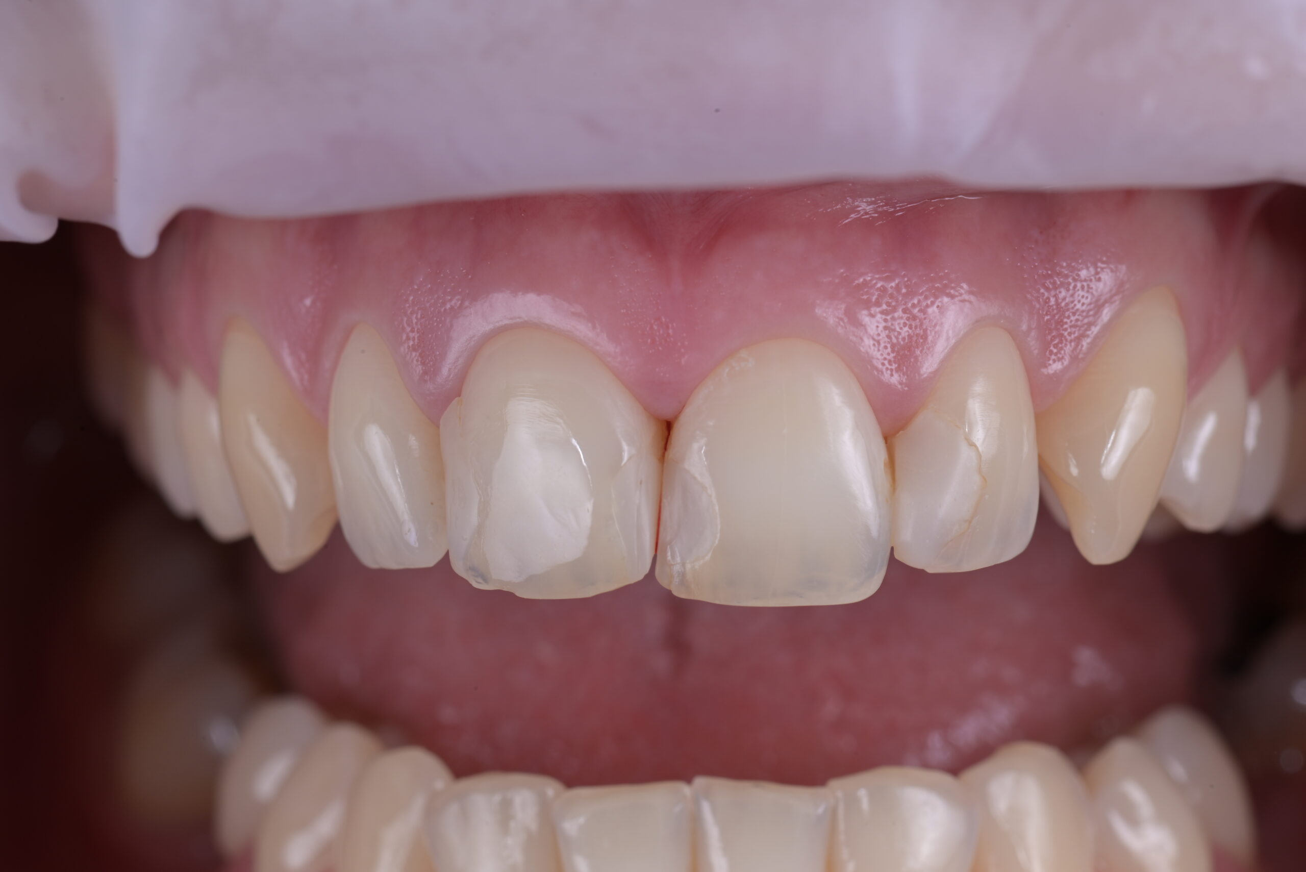
Healthy gingiva, no attachment loss, plaque retaining composite restorations in the upper frontal region
Risks factors Existing composite restorations, plaque
Retention
THE CHALLENGE: SETTING THE SMILE FRAME
The challenge of this case was to re-establish a harmonious smile line using minimally invasive composite veneers while managing the limitations imposed by the existing restorations. The high visibility of the anterior teeth, combined with plaque-retentive defects and disproportional shapes, made it necessary to redefine both esthetics and function.
Calibrated photography was used to capture facial references, followed by digital 2D design in Smilecloud.


The selected tooth forms were integrated into a 3DNA blueprint, allowing volumetric visualization and precise adaptation to the patient’s lips and face in the blueprint. This highlighted that five veneers were needed (teeth 12–23) to complete the smile line and balance proportions.


PATIENT’S EXPERIENCE
The patient reported a highly positive experience. She appreciated the clarity of the digital simulation and felt reassured by being able to preview the final result. She highlighted the comfort of the minimally invasive approach and expressed satisfaction with the immediate esthetic improvement and the healthier, easier-to-clean smile.

GETTING THE YES
Achieving patient acceptance was facilitated by the digital workflow. The Smilecloud 2D simulation, overlaid on her portrait, provided a realistic preview of the new smile.
Finally, the mock-up allowed her to “test drive” her new smile, verifying comfort and esthetics intraorally. This comprehensive communication gave her the confidence to proceed, turning the design into a shared vision between patient and clinician — the crucial moment of the “YES.”



We created the video simulation as well to enhance the experience using the latest advancement in desing presentation called smilecloud YES which presents the design in a completely new way using an AI-generated mock-up video of the patient. See the video below:
Learn the exact workflow used in this case and more
Find out more about The Smile Protocol — live sessions, real cases, and a structured path to mastering SmileCloud and 3DNA.
TREATMENT PLANNING
The Smilecloud design confirmed the need for five veneers to establish a proper smile frame. The digital plan was converted into a mock-up, enabling validation of aesthetics, phonetics, and functionality.
This protocol, which combines Smilecloud planning and injectable composite technique, is currently the only fully digital protocol designed entirely within the Smilecloud software and requires only creating a printable model in external programs like 3D Shape, Meshmixer, etc. The export process involves making two models for printing: one with every second tooth in the design and another with all the teeth in the design.


Composite veneers were selected as the treatment of choice due to their minimally invasive nature and reversibility. An injectable composite was chosen to optimize adaptation, especially in tooth 23, where a partial veneer was needed without excessive preparation.

THE BLUEPRINT
In our experience with over 300 cases of composite veneers with The Smile Protocol the optimal thickness of the composite
restorations is between 0,5 -1mm with the design increasing in thickness incisally – this both enables the functional stability and also the thickness below 1mm enables the mimicking and chameleon properties of the composite to take over, thus giving the completely natural appearance of a final composite veneers.





The importance of a blueprint in this case is emphasized by the analysis and identification of excess old composites, which are selectively removed before applying new composites. Every aspect of the blueprint segments is easily adjustable with the software's user-friendly sculpt tool, allowing us to smoothly prepare the initial state to match the planned end result.



Export option with selective teeth export from the design allows us to export two models directly. One with every second tooth and one model with all of the teeth in design. As explained before, this approach reduces polishing time, enables a more predictable way of delivering the design, and ensures strong proximal contacts.
TECHNICAL BOTTLENECKS
Great attention should be given to the model printing process, as some resins and printer settings might result in a surface that is not very smooth. If left as is, this could transfer to the surface of a transparent silicone index, affecting the detail and fineness of the printed model while maintaining natural features selected in the smilecloud. Optionally, we use EVE twist polishers to gently polish the surface of the models before pressing the transparent silicone index.
Ready to take your planning to the next level?
Learn more about The Smile Protocol
TREATMENT STEPS
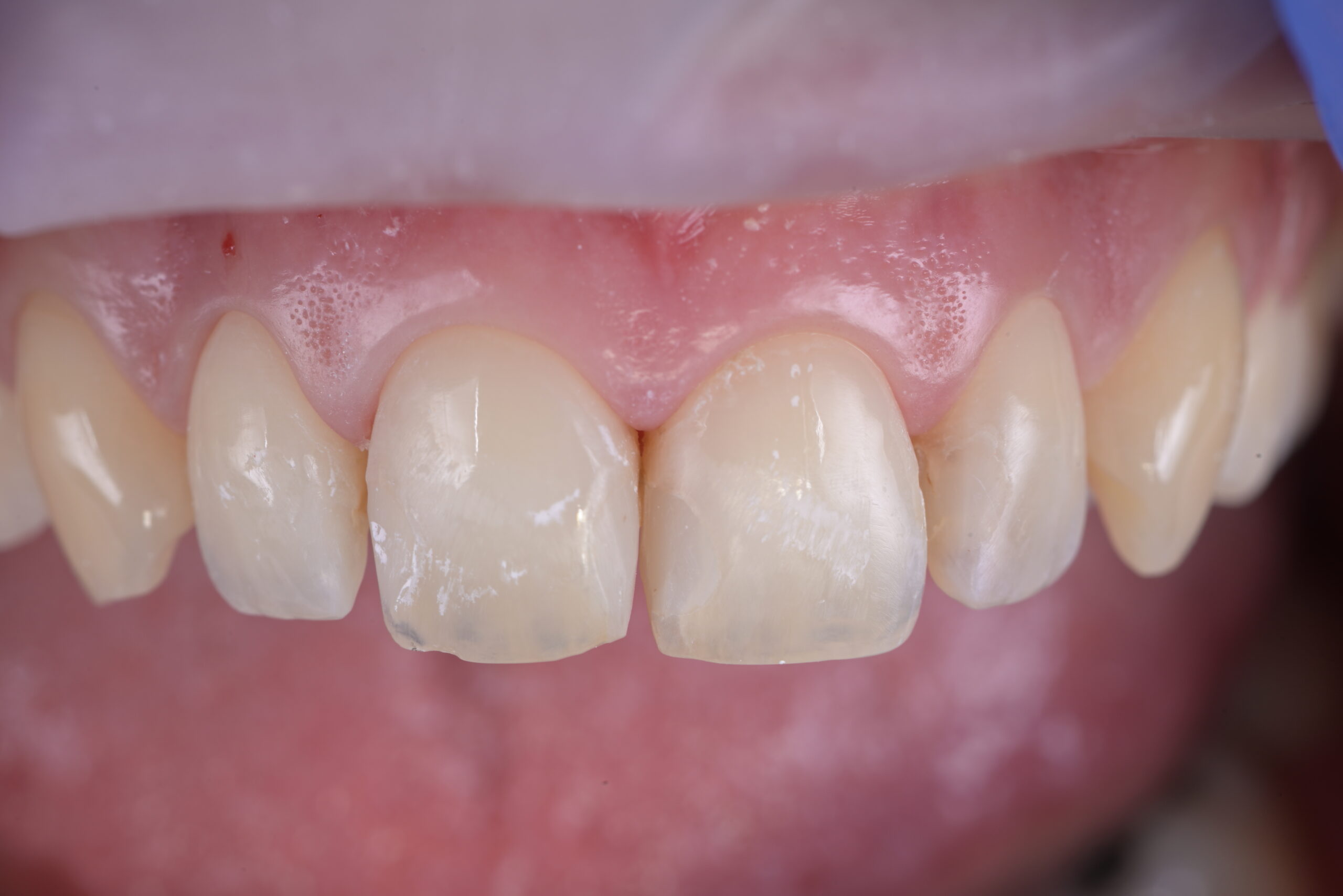
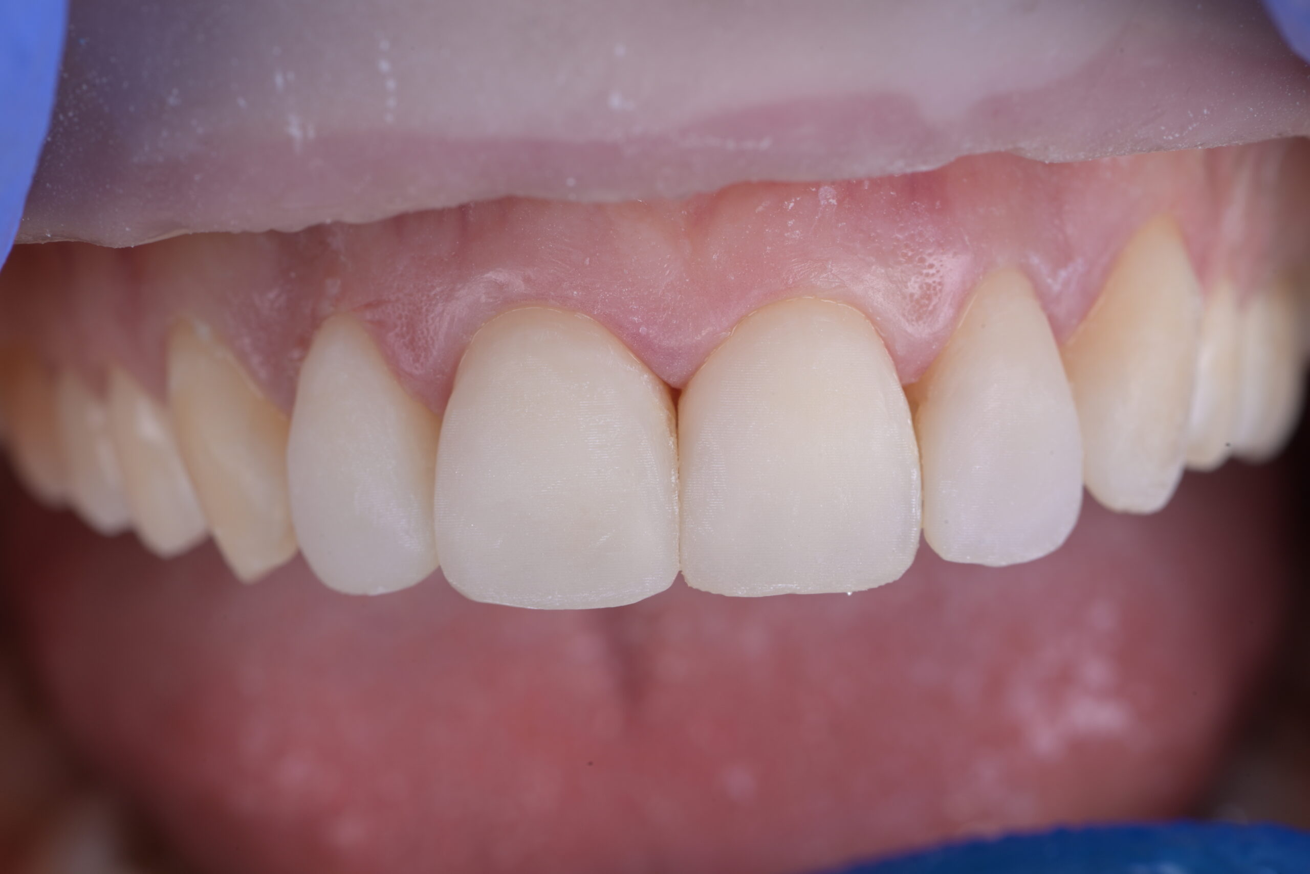
Treatment began with the removal of the existing composites which were clinically acceptable but aesthetically poor.


The surfaces were conditioned using 29 μm aluminum oxide with an AquaCare air abrasion device. This step not only cleaned and refreshed the substrates but also significantly improved bond strength for the new restorations.

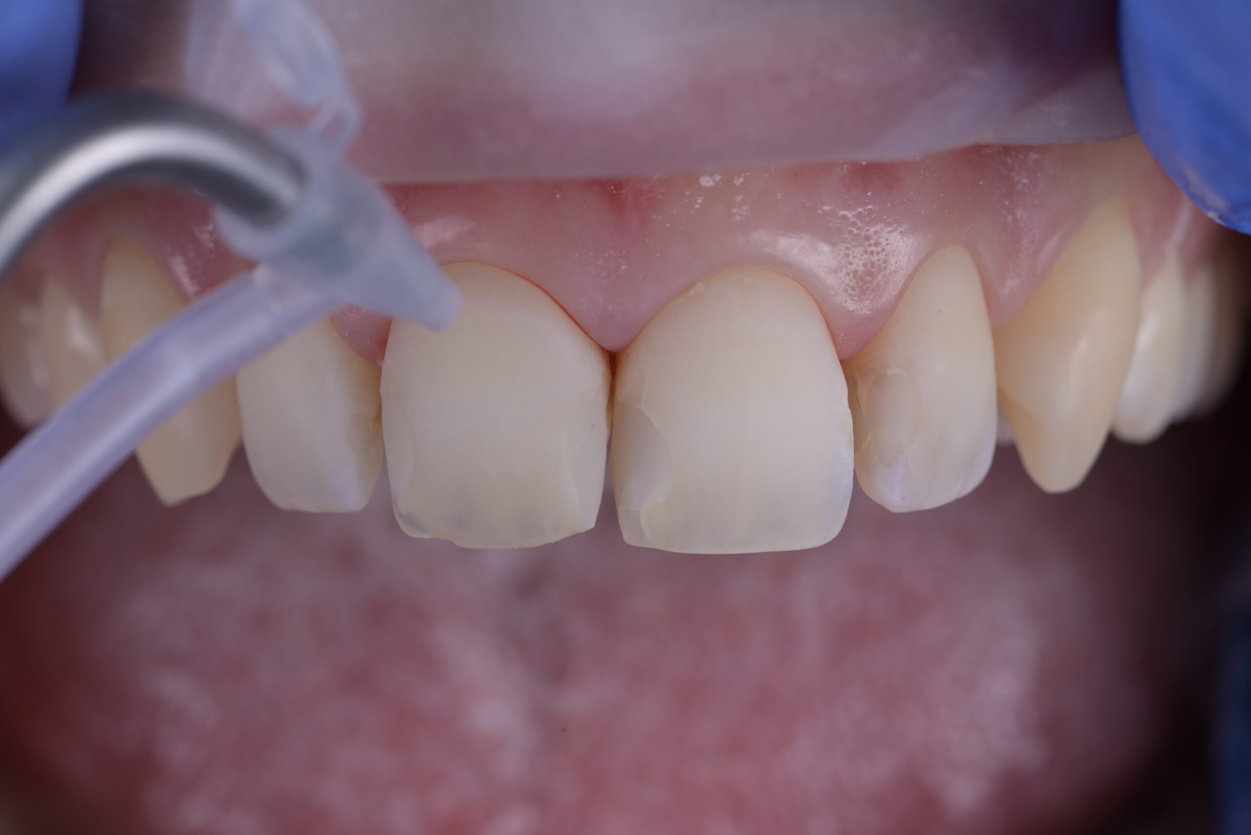
Printing two models is essential for maintaining the accuracy of the proximal contacts and minimizing excess removal time. This involves applying the composites in two phases – first, on every second tooth.



The process includes isolating adjacent teeth with PTFE tape to prevent sticking. After a brief excess removal and polishing, we use the second transparent silicone index to inject the remaining designed teeth.
The protocol using two models accurately captures data from digital libraries and reliably transfers it directly into the patients' mouths.


Special attention was given to tooth 23, where a partial composite veneer was needed. Traditionally, this presented an aesthetic challenge, but by using the injectable nanohybrid composite technique (GC), the morphology was integrated seamlessly with little or no beveling.
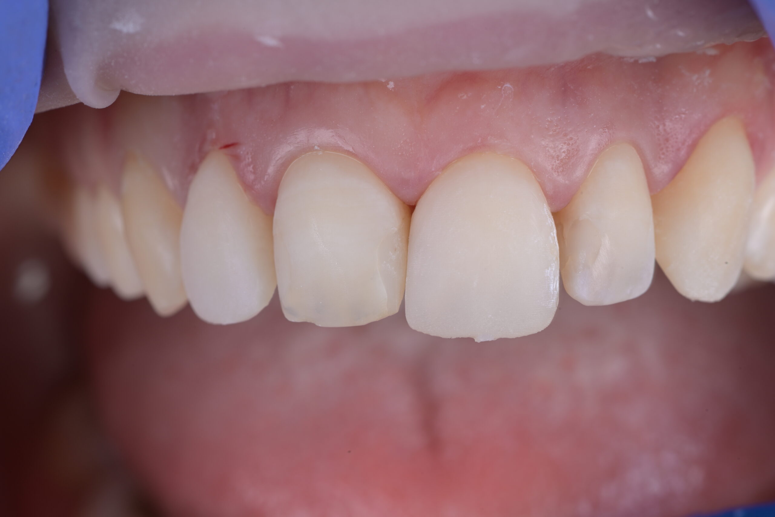
The digital design served as the aesthetic and functional guide, directing both preparation and the restorative process. This protocol allowed us to overcome the difficulty of replacing old, poorly integrated restorations, resulting in a natural, plaque-free, proportionally correct smile. The final polishing involved EVE Twist polishers until the desired gloss and texture were achieved.


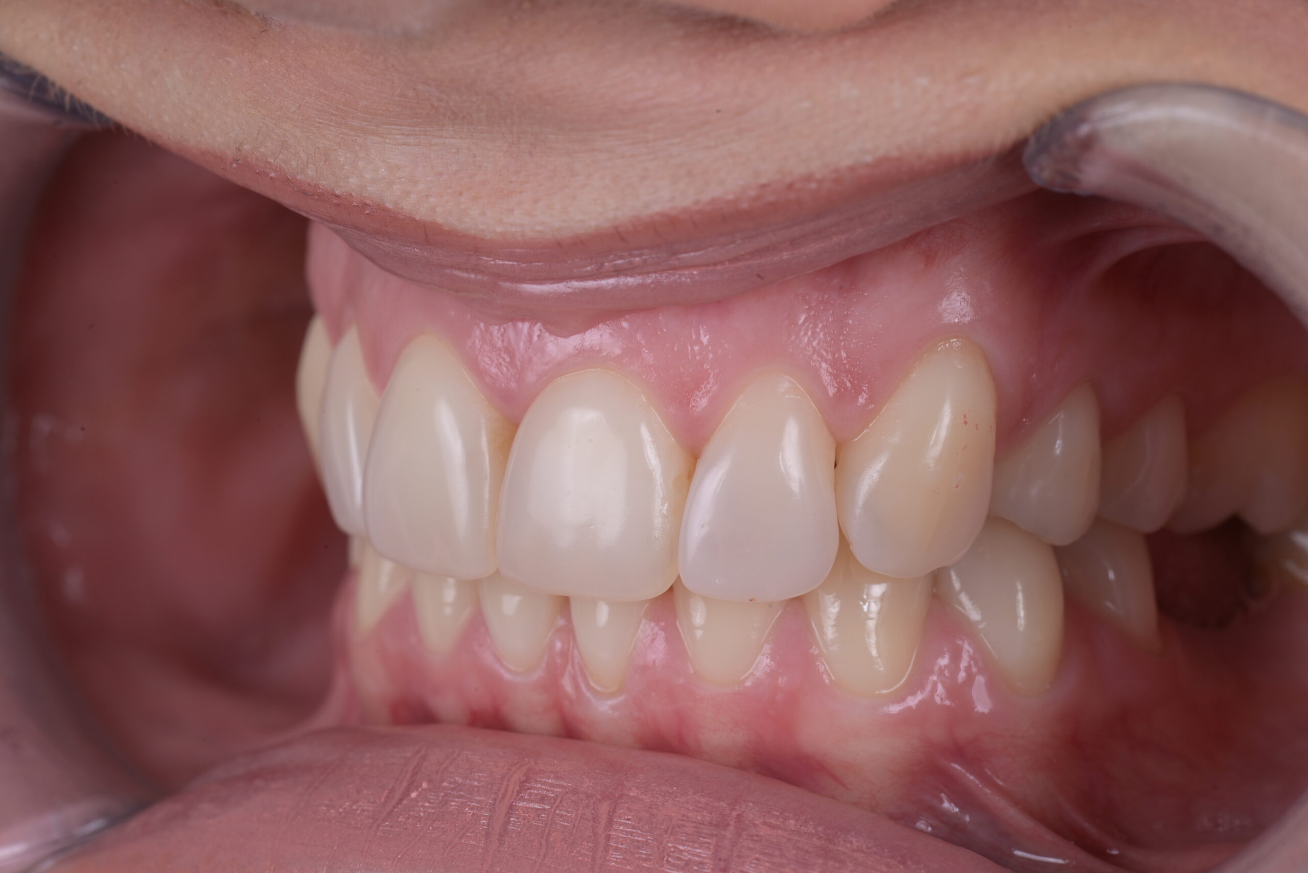
FINAL RESULTS

Final photos were taken 10 days after applying the composites, and immediately we see improvement in gingival health and the patients’ happiness with the natural-looking end results.
To make the monochromatic composites look so natural, we realized it’s the design and the natural libraries that breathe life into the final restoration—thus, The Smile Protocol would not be such an aesthetic marvel without the natural libraries from smilecloud.

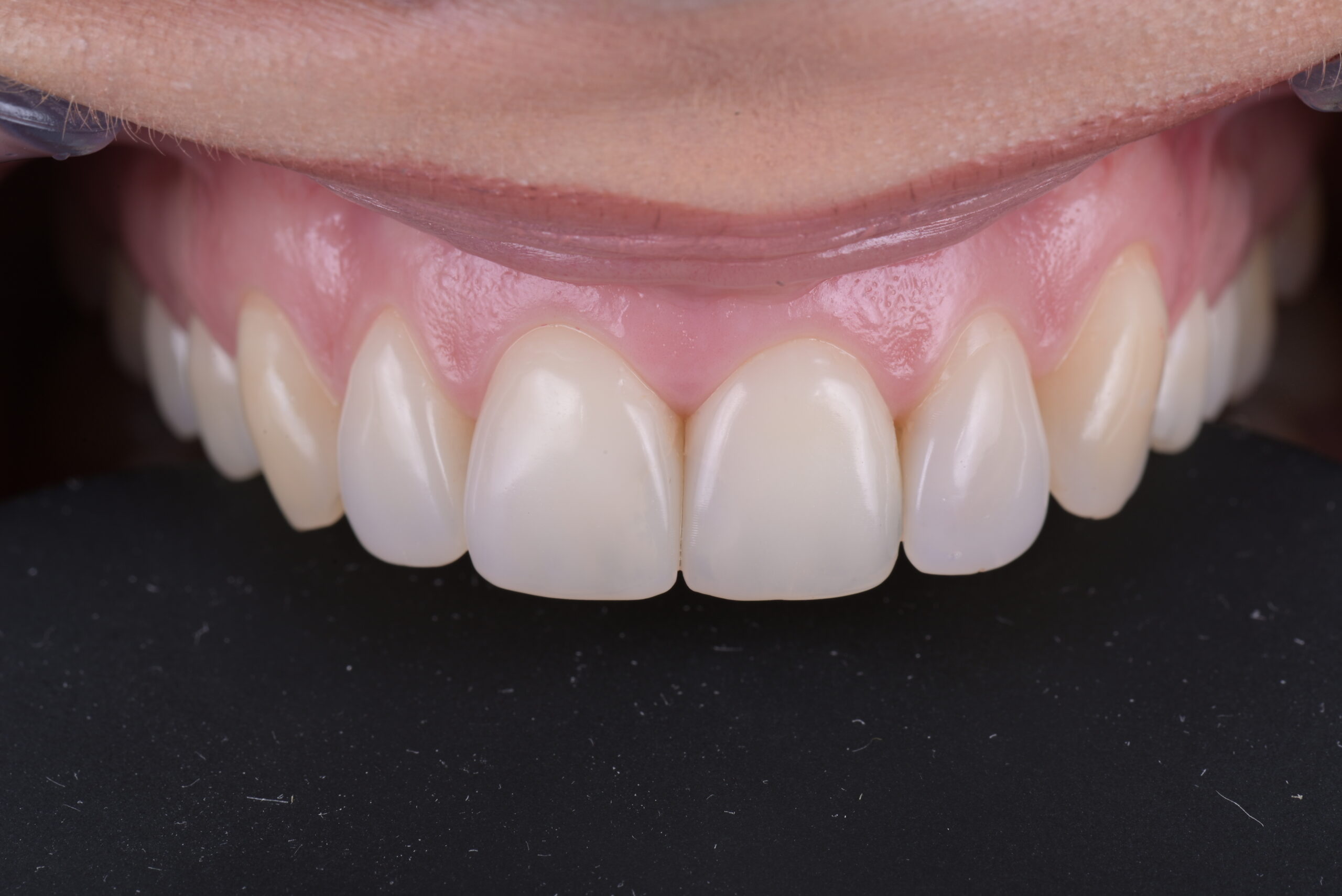
FOLLOW-UP
Follow-up photos were taken nine months after the placement, and the integration is now complete. The patient notes that she has long lost the feeling that anything was done to her teeth, as they now appear completely natural and aesthetically pleasing. According to the author's observation, time adds a certain finishing touch, as the composites in the follow-up seem even better than on the day of delivery.




